【镜在手 览无余】微山湖医院新进消化道早癌筛查利器——奥林巴斯H290系列内镜
微山湖医院新购置目前世界最先进的奥林巴斯内镜系统多套。包括电子放大胃镜GIF-H290Z,超高清电子结肠镜CF- H290I,治疗胃镜GIF-Q260J。
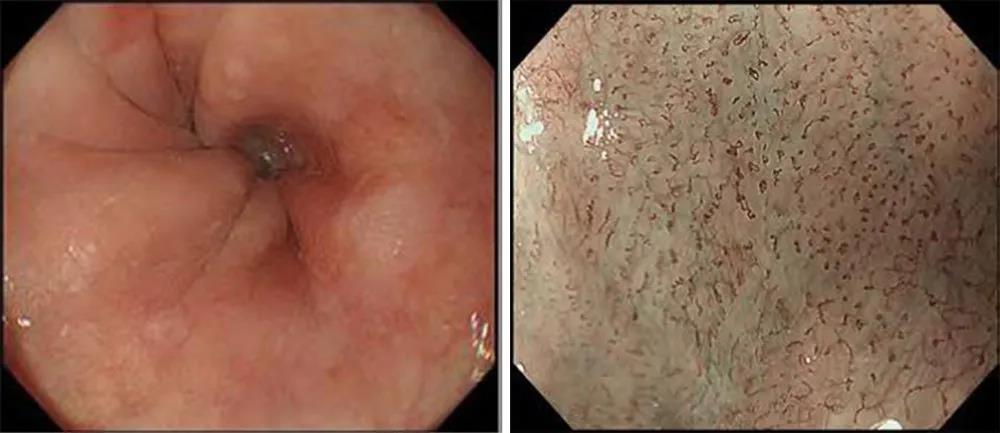
代表设备简介
GIF-H290Z电子胃镜是一种超细的光学电子放大胃镜,提供了HDTV图像质量。这种纤细的设计支持在观察期间更平滑的进入和更好的操作。GIF-H290Z还能够通过窄带成像实现高达85倍的光学放大倍数,通过增强小的特征如血管和粘膜上的表面形态来帮助详细观察。
主要特点
一、
超细镜身
在采用光学放大功能的同时,GIF-H290Z的前端外径仅9.9mm,比上代的GIF-H260Z缩窄0.9mm。这有助于支持更平滑的进入观察。

二、
光学85倍放大
图像光学放大达85倍,就像一台微缩化的精密显微镜,其高清图像质量能轻松提供粘膜表面的视图。结合更明亮的NBI(窄带成像),粘膜组织和毛细血管网络得到增强,进一步支持详细观察。


新内镜较上代H260系列相比,视野更清晰,亮度更高,配套治疗设施更完善,给我院消化内科临床检查和治疗工作提供了更强大的保障。
欢迎社会各界有需要人士来院消化内科体检及行内镜下诊疗。我们必将以最精湛的技术和最认真负责的工作态度为您服务。
名医风采
孙健
副主任医师 业务院长
毕业于滨州医学院临床医学系,从事消化内科临床工作20年。先后于北京友谊医院消化科、济南千佛山医院肝病科、济南军区总院内镜中心进修学习。擅长胃肠、肝胆、胰腺等消化系统内科疾病的诊治,尤其擅长胃肠镜检查及治疗。历年来先后开展了食管狭窄扩张术、支架植入术、胃肠息肉电切术、内镜下内痔治疗、胃内碎石术、内镜下止血术及消化道早癌诊治工作,得到了广大病人的好评。目前任山东省中西医结合专业委员会肝病分会委员、济宁市医学会消化专业分会委员、济宁市医学会肝病分会委员。2015年被评为山东省最美基层医生,2017年获济宁市五一劳动奖章。
林 青
副主任医师
2000年——2005年就读于济宁医学院。2013年2月——2013年8月于北京友谊医院消化科及内镜中心进修学习。2017年5月-7月,在山东大学第二附属医院进修内镜下早期癌症的诊断和治疗。擅长电子胃肠镜检查及镜下手术。对消化内科常见病、多发病的诊断及治疗规范。对消化相关的疑难,少见病例也多有了解。目前任中国中西医结合学会消化系统疾病委员会第一届炎症性肠病专家委员会委员 济宁市医学会消化专业分会委员。
咨询热线
消化内科门诊:0537-5035139
消化内科病房:0537-5033023
内 镜 中 心:0537-5035955


